At Rockyview Dental Care, our dental veneers can help you achieve a beautiful and confident smile that lasts for years! If you have any questions about dental veneers, or if you would like to explore whether dental veneers are the right solution for your smile, please contact our team at (403) 253-9225 and we will be happy to help!
Your Choice for Dental Veneers in Southwest Calgary!

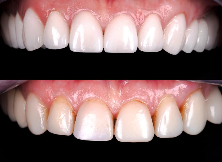
If you are looking to enhance the appearance of your smile, dental veneers may be the perfect option for you! Rockyview Dental Care is pleased to offer high quality dental veneers to help transform your smile with a natural look. Whether you are dealing with chipped, stained or misaligned teeth, dental veneers can help you achieve the smile you have always wanted!

What Are Dental Veneers?

Dental veneers are thin, custom made shells that are bonded to the front surface of your teeth. They are made from high quality materials like porcelain or composite. Dental veneers are designed to cover imperfections, improving the appearance of your teeth and smile by altering colour, shape, size, and length of teeth. Veneers are a fantastic option for patients looking to correct issues such as chips, cracks, gaps or discolouration, providing a seamless and beautiful smile.

Why Choose Dental Veneers?

- Natural, Aesthetic Look:Veneers are custom crafted to blend perfectly with your natural teeth, giving you a bright and even smile.
- Durability: Dental veneers are highly durable and resistant to staining, offering long lasting results that help maintain your smile’s radiance.
- Minimal Tooth Alteration: The process of placing veneers typically requires minimal alteration of your natural teeth, preserving their strength while enhancing their appearance.
- Quick and Effective:Veneers can dramatically improve your smile with just a few visits, making them a fast and efficient solution for transforming your smile.

What is the Process of Getting Dental Veneers?

The journey to achieving your dream smile with dental veneers begins with a consultation assessment with a Rockyview Dental Care team member, where we will evaluate your teeth and oral health goals, working together to decide if veneers are the right solution for you. Once the decision is made, we will take precise impressions of your teeth in order to create custom veneers that fit your smile perfectly. We pay close attention to the size, shape, and colour of the veneers to ensure that they match your natural teeth for a seamless appearance. In terms of preparation, a small amount of enamel is gently removed from the front of your teeth in order to allow the veneers to be placed securely. Once your veneers are ready, we will carefully bond them to the surface of your teeth, adjusting for a perfect fit. We will then finalize the process with shaping and polishing, leaving you with a bright, white and natural smile!

We look forward to seeing you at your next visit!
Call Rockyview Dental Care at (403) 253-9225 to schedule your Dental Veneers appointment today!